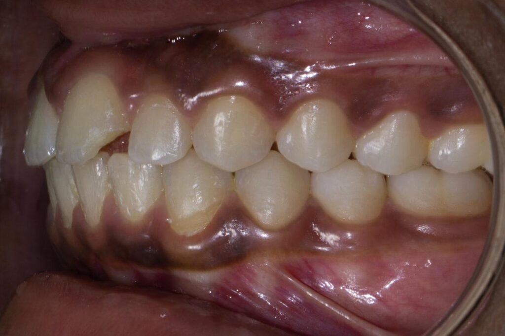
Orthodontic Treatment
Get the Perfectly Aligned Smile with Orthodontic Treatment in Baner, Pune
Orthodontic Treatment
Straighten Your Smile with Trusted Orthodontic Treatment in Pune
Your natural beauty begins
with a confident smile
How Does Orthodontic Treatment in Baner Work?
Diagnosis & Planning
We start with a thorough evaluation, digital X-rays, and a 3D scan to assess your teeth alignment. Your personalized orthodontic treatment in Pune begins here.
Appliance Placement
Based on your case, we place braces or provide custom-made aligners. Our orthodontic specialist in Baner ensures everything fits comfortably and works efficiently.
Progress & Retention
You’ll visit us regularly for adjustments. Once alignment is achieved, we guide you through the retention phase to maintain your results after your orthodontic treatment in Baner, Pune.
WHAT ARE Orthodontic Treatment ?
Why Choose Orthodontic Treatment at BeauDent?
- Wide Range of Options – From traditional braces to clear aligners, we have a solution for every lifestyle.
- Experienced Orthodontic Specialists in Baner – Get treated by certified professionals with years of expertise.
- Advanced Imaging & Planning – We use 3D digital scans to create precise treatment plans.
- Comfort-Focused Approach – We prioritize gentle adjustments and minimal discomfort throughout your orthodontic treatment in Baner.
- Results That Last – Our treatments are designed for both short-term aesthetics and long-term stability.
Your natural beauty begins
with a confident smile
Orthodontic Treatment
What Is the Procedure for Orthodontic Treatment in Baner, Pune?
- Initial Consultation Our orthodontist in Baner examines your bite, takes digital scans, and discusses your goals.
- Treatment Planning We design a custom plan and explain your options—metal braces, ceramic braces, or clear aligners.
- Appliance Fitting Braces are placed, or aligners are handed over along with a wear schedule.
- Monitoring & Adjustments Regular follow-ups help us track your progress and make timely adjustments during your orthodontic treatment in Baner, Pune.
Treatments
Root canal Treatment
Painless root canal treatment in Baner, Pune, to save infected teeth and relieve toothache.
Dental Implants
Restore missing teeth with durable dental implants in Baner, Pune, for a natural look and function.
Cosmetic Dentistry
Enhance your smile with expert cosmetic dentistry in Baner, Pune, including veneers and smile makeovers.
Pediatric Dentistry
Gentle pediatric dentistry in Baner, Pune, for kids' dental care, from checkups to cavity treatments.
Laser Teeth Whitening
Get brighter teeth instantly with safe laser teeth whitening in Baner, Pune, at BeauDent.
Orthodontic Treatment
Fix misaligned teeth with braces or aligners through expert orthodontic treatment in Baner, Pune.
Tooth Extractions
Safe, painless tooth extractions in Baner, Pune for damaged, decayed, or wisdom teeth.
Denture
Replace missing teeth with natural-looking, custom dentures in Baner, Pune, for a confident smile.
Book Your Appointment Today!
Discover Trusted
Dental Care in Baner, Pune
Whether you need cosmetic enhancements, restorative procedures, or preventive checkups, BeauDent is your trusted destination for expert dental care in Baner, Pune. Our experienced team ensures every visit is gentle, personalized, and stress-free.
Take the first step toward a healthier, more confident smile with top-rated dentists in Baner, Pune by your side.
- Call now to schedule your appointment or book your visit online in seconds!
I’m so happy with my experience at beaudent ! Dr. Ankita was wonderful—she took the time to explain my implants and invisible braces process in a way that made sense. The staff was super kind and made me feel at ease, even when I was nervous. My new smile looks so natural, and I’m already getting compliments. The office is clean, and booking appointments was a breeze. I’d recommend Dr. Ankita and her team to anyone looking for great dental care!
Nikki Gurjar
Jeevan Saini
Poonam Kanwar
Monica Rajmalani
Orthodontic Treatment